Prepare MRI

Select landmark points to accurately orient the MR volume.

Landmarks are :

Scanners usually output volumes in the anatomical orientation, i.e. as if we were facing the subject. In this case, the anatomical left is located at the right of the screen.

Description

How to

  1. Open the input_mri in Anatomist by clicking the corresponding eye button ;
  2. Locate the landmark (let's say the anterior commissure) in the image and click on it ;
  3. Send the selected point coordinates to the landmark field (point_anterior_commissure) by clicking on the corresponding anatomist button ;
  4. Repeat the above steps for the other landmarks.
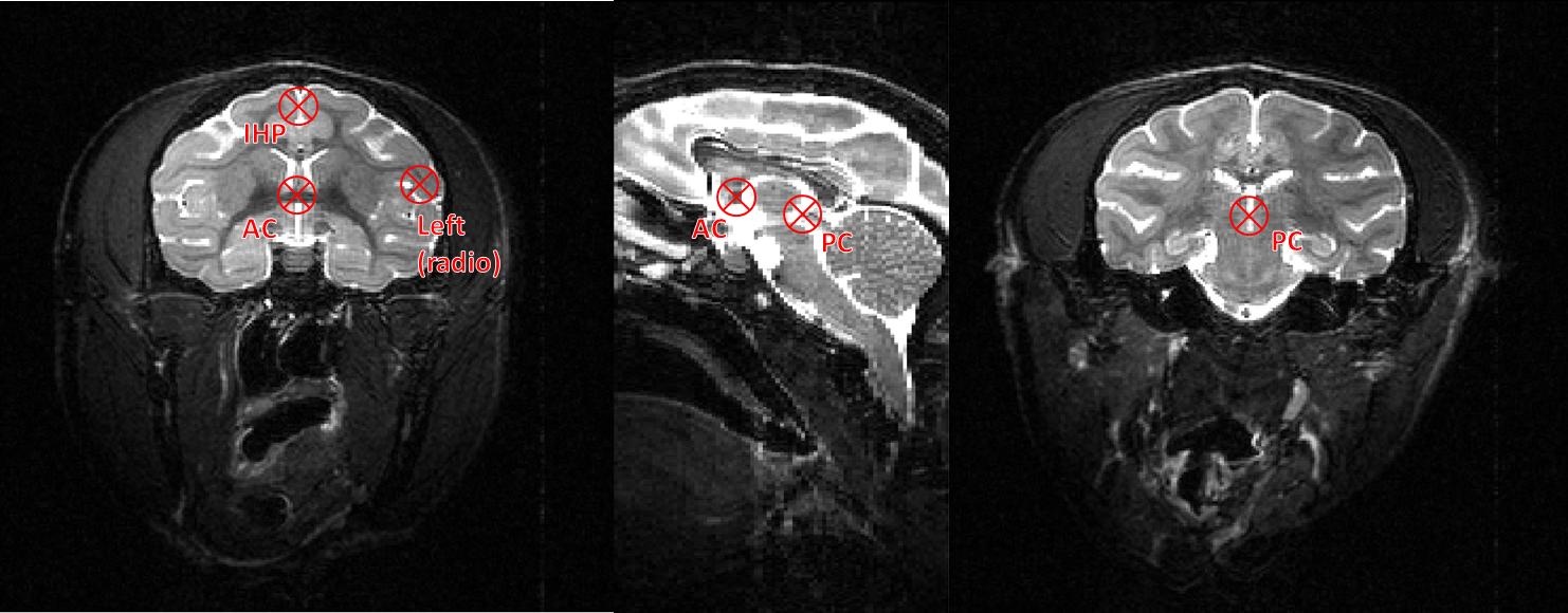
Figure 1. Landmark selection steps.

Landmark position

The position of points AC and PC is depicted Figure 2. The easiest way to find them is from the sagittal view: the user should find the intersection between each of these points and the interhemispheric plane. In the example image, because of the use of a stereotaxic frame, the interhemispheric plane is already aligned and both AC and PC can be selectedc from the same sagittal section. This might not always be the case though.

The interhemispheric point should be selected above the AC-PC line in order to correctly orient the volume.

If the scanner outputs image in radiological orientation, the left hemisphere point will be located, as in Figure 2, in the right side of the image. If no left hemisphere point is provided, the orientation will be kept as is. Else, the process will output the image in radiological orientation.

Figure 2. Location of AC and PC in the Macaque brain. The IHP should be selected above the AC-PC line.

Parameters

input_mri: P:MRI Raw ( input )
Input MRI
point_anterior_commissure: Point3D ( optional, input )
Anterior commissure point. This should be AC's most posterior points that intersects the interhemispheric plane.
point_posterior_commissure: Point3D ( optional, input )
Posterior commissure point. This should be PC's most anterior points that intersects the interhemispheric plane.
point_interhemispheric: Point3D ( optional, input )
Any point from the interhemispheric plane located above (i.e. dorsal to) the AC-PC line.
point_left_hemisphere: Point3D ( optional, input )
Any point located in the left hemisphere. If the MRI is in radiological orientation, this point should be located, on the screen, at the right of the interhemispheric plane.
output_commissure: Commissure coordinates ( output )
Landmarks coordinates are stored in dedicated file (*.APC)

Technical information

Toolbox : Primatologist

User level : 0

Identifier : primate_Prepare

File name : brainvisa/toolboxes/primatologist/processes/blocks/primate_Prepare.py

Supported file formats :

input_mri :
gz compressed NIFTI-1 image, Aperio svs, DICOM image, Directory, ECAT i image, ECAT v image, FDF image, FreesurferMGH, FreesurferMGZ, GIS image, Hamamatsu ndpi, Hamamatsu vms, Hamamatsu vmu, JPEG image, Leica scn, MINC image, NIFTI-1 image, SPM image, Sakura svslide, TIFF image, TIFF image, TIFF(.tif) image, TIFF(.tif) image, Ventana bif, Zeiss czi, gz compressed MINC image, gz compressed NIFTI-1 image
output_commissure :
Commissure coordinates, Commissure coordinates