Anatomist tutorial¶
Foreward¶
In order to work through the following sections, please download the demonstration data from one of the following links:
For more information concerning the installation, please refer to the manual of BrainVISA.
Introduction to Anatomist¶
Description of Anatomist features:¶
Handling different objects: 3D volume, 4D volume sulcus, ROI, …
Handling different coordinate systems and transformations, for instance, you can load transformation matrix to change the object coordinate systems.
Building/assembling/fusioning or superimposing objects in arbitrary number of views.
Toolboxes: ROI, mathematic morphology, manual registration …
Anatomist control window¶
See the manual.
Basic level¶
Anatomist settings¶
In order to change the preferences:
Settings => Preferences.
Change what you need: display the linked cursor, display convention …
Save modifications for the next sessions in File => Save global settings.
Load an object¶
File => Open.
Select your object with the file browser, for instance:
data_for_anatomist/subject01/subject01.niiThis object appears in the left list of the control window.
View an object¶
Load
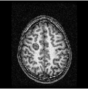
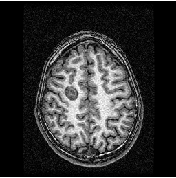
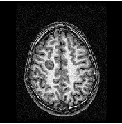
data_for_anatomist/subject01/subject01.niiOpen an axial window by clicking on
.Put the object (the volume) into this window: drag and drop this object into the window.
View of a T1 MRI in an axial window.¶
Open other types of windows (sagittal, coronal)
Put the object into these windows by selecting the object and the windows and clicking on
.Click in one window. Notice that the cursor moves also in the other windows.
It is possible to open several views using the menu Windows -> Open 3D standard views or Open a 4 views block. A block is a window that can contain several views. To add a window in a block, drag and drop the window item from Anatomist’s list of windows to the block. To remove it, use the window menu Window => Detach window
4 views block¶
Zoom, translation and rotation of a volume¶
Load any volume.
Place your cursor on
to get information about shorcuts for zoom, rotations, etc.For example, try to do a rotation: click on the middle button and move simultaneously on the mouse.
Read header information (voxel_size, dimension image …)¶
Load
data_for_anatomist/subject01/subject01.niiDrag and drop on
.Unroll the tree and read the information.
Read header information¶
Modification of color palette¶
Load and visualize a volume.
Right-click on this object and choose Color => Palette.
Change the palette by selecting of a new palette in the bottom left list.
Try to change the values of 1st dimension settings and see the effects on the volume display.
Color Palette¶
Try to change the palette boundaries using the following keyboard shortcuts:
CTRL key + right button click and move the mouse up and down: you change the max boundary of the palette.
CTRL key + right button click and move the mouse left and right: you change the min boundary of the palette.
See corresponding python script.
Gradient Palette¶
If you want to create a custom palette, you can use the Gradient palette module.
Right-click on the object and choose Color => gradient palette.
Change the palette by modifying the curves of the red, green and blue component.
Save the palette image in
$HOME/.anatomist/rgb. It will be available in the list of palettes the next time you run anatomist and you will be able to modify it later by choosing this palette in the list and opening again the gradient palette module.
Gradient Palette¶
View meshes¶
Load:
data_for_anatomist/subject01/subject01_Lwhite.meshdata_for_anatomist/subject01/subject01_Rwhite.mesh
Open a 3D window by clicking on
.Put the objects into this window: drag and drop them into the 3d window.
View of white matter meshes in 3D window.¶
Superimposing objects¶
You can have several objects of different types in the same view. Lets superimpose a T1 MRI and the white matter meshes.
Load:
T1 MRI:
data_for_anatomist/subject01/subject01.niiRight white matter mesh:
data_for_anatomist/subject01/subject01_Rwhite.meshLeft white matter mesh:
data_for_anatomist/subject01/subject01_Lwhite.mesh
Open a 3D window by clicking on
.Drag and drop the 3 objects into the 3D window.
You can see the meshes but the T1 MRI is “hidden”:
To view it, use the middle button of your mouse to rotate the objects of this window, and now:
Change the mesh material¶
The color and opacity of a mesh can be changed using the right-click menu Color => Material.
Load
data_for_anatomist/subject01/subject01_head.meshAdd it to the previous 3D window.
Right-click on
data_for_anatomist/subject01_head.meshobject and choose Color => Material.Change the opacity value.
Change its color using the cursor red, green and blue
Change the mesh material¶
Fusion between 2 volumes¶
Load:
Brain mask:
data_for_anatomist/subject01/brain_subject01.niiT1 MRI:
data_for_anatomist/subject01/subject01.nii
Put the 2 objects in the same window.
What do you see ?
You only see one of both volumes…
Superimposing does not work here, we have to create a new object that mixes the 2 volumes.
Select the 2 objects in the object list using Ctrl + left buton.
Clik on the fusion button
.A new window is diplayed which allows to select some fusion parameters. Click just on Ok to create the fusion object:
Fusion window.¶
Place this new object in a window.
By default, all volumes have the same color palette. So we will need to change this for one of the two volumes to help differentiate them. For instance, choose the GREEN-ufusion palette for the brain mask. Note that it is also possible to use the contextual menu Color => Set distinct palette, Anatomist will try to set automatically an appropriate palette for the object.
It is possible to change the parameters of the fusion by right-clicking on the fusion object (Fusion2D) and select Fusion => Control 2D fusion.
Set the mapping mode to Linear or Linear / A if B is white. Many modes have been added in Anatomist 4.3, allowing more flexibility according to the data to mix.
You can change the mixing rate between objects to see more one or the other.
Fusion volume/volume¶
Handling referentials and transformations¶
In the previous examples, data came from one subject and one modality, so all images were in the same referential. With data from different subjects and modalities, it is more complicated, we have to take care about the different referentials. See Anatomist manual and a presentation for details about referentials management.
Load a transformation¶
Visualization of the anatomical MRI of 2 subjects in a common referential (Talairach AC/PC-Anatomist)
Load:
subject01 T1 MRI:
data_for_anatomist/subject01/subject01.niisubject02 T1 MRI:
data_for_anatomist/subject02/subject02.ima
Fusion the 2 images. Notice that they are not well superimposed because they are not in the same referential.
Fusion between anatomical MRI of 2 subjects¶
Right-click on each image then Referential => Load => New.
Open the referentials window: Windows => Referential windows.
Draw a line with the mouse from the referential of subject01 to the red referential named Talairach AC/PC-Anatomist and choose the tranformation file:
data_for_anatomist/subject01/RawT1-subject01_default_acquisition_TO_Talairach-ACPC.trmDraw a line with the mouse from the referential of subject02 to the red referential named Talairach AC/PC-Anatomist and choose the tranformation file:
data_for_anatomist/subject02/RawT1-subject02_200810_TO_Talairach-ACPC.trmReturn to the window that displays the fusion and click on the menu Scene => Focus view on objects.
Now, the display of the 2 images must be consistent.
Anatomical MRI of 2 subjects in a common referential¶
Load an existing referential¶
You can set an existing referential to an object when several objects are in the same “real world”. For example, a mesh created from a T1 MRI is in the same referential as the MRI.
Load subject01 white mesh:
data_for_anatomist/subject01/subject01_Lwhite.mesh.Put it in the previous window containing the fusion between the MRI of the 2 subjects. Notice that it is not displayed at the same place as the MRIs.
Before loading referential¶
Apply the referential of subject01.nii to this mesh with right-click menu Referential => Load.
Now, the display is correct.
After loading referential¶
Load referential information from file header¶
The option Referential => Load information from file header extracts information about referentials and transformations which are stored in the image files. Indeed, some formats like DICOM or Nifti enable to store this kind of information. Theses transformations are not applied automatically by anatomist by default, but it is possible to change that in Settings => Preferences => Volume.
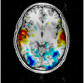
Fusion between an anatomical volume and an activation map
Load:
T1 MRI:
data_for_anatomist/subject01/subject01.niiActivation map:
data_for_anatomist/subject01/Audio-Video_T_map.nii
Fusion the 2 images. Note that they are not well superimposed because they are not in the same referential. But they are in Nifti format and contain information about a transformation to the referential Talairach-MNI Template-SPM.
For each volume, right-click Referential => Load information from file header.
Look at the fusion, the 2 images are now well superimposed.
Change the point of view by changing the referential of the window: click on the colored bar at the top of the window and choose Talairach-MNI Template-SPM. Notice the change of orientation.
Fusion between an activation map and a T1 MRI¶
Note
Note about SPM2
SPM2 can use a .mat file to store the origin information, so the information in the regular Analyze header is not always reliable. Anatomist cannot read .mat (matlab) files, but .trm files. To convert the .mat file to .trm, and then load a transformation.
Note
Note about SPM5 / SPM8
In this example, the 2 images contain information about the transformation to a common referential Talairach-MNI template-SPM. Be careful, this information is not in all images and the destination referential is not always the same. SPM8 for example, doesn’t always set this normalized MNI template referential as the destination referential when it normalizes an image. In this case, Anatomist creates to different destination referentials. To indicate that these referentials are identical, you can put an identity transformation between the 2 referentials: draw a line with the mouse between the 2 referentials while pressing the Ctrl key.
Manual registration with the transformation control¶
Load:
T1 MRI:
data_for_anatomist/subject01/subject01.niiActivation map:
data_for_anatomist/subject01/Audio-Video_T_map.nii
Put each volume into a window.
Change the activation map color palette.
Make a fusion between the 2 volumes.
Right-click on the window of the functional volume and select View / Select object.
Select the object in the browser.
Click on
.Now you can move the functional volume as you like, notice that the object also moves in the fusion window.
A translation is done using ctl + middle mouse button + mouse move.
To do other operations like scaling and rotation, see the help on the control button tooltip.
Settings => Referential window.
A new transformation has been created. Right-click on the black line and select Save transformation.
You will be able to reload this transformation later or for instance read/use the information file to initiate a registration algorithm.
Warning
Use this toolbox carefully because you manually handle the registration. In fact the human eye cannot drive a registration as well as a specific algorithm. For instance, images may seem aligned in an axial slice, but contain some drifts in sagittal and coronal orientations. Anyway this tool can be helpful, and may be used to initiate a coregistration algorithm.
Radiological/neurological convention and usage of aimsrc configuration¶
Warning
This part of the tutorial is related to flipped display problems that may occur, especially when using the Analyze format. It is highly recommended to use the Nifti format instead of Analyze format. Indeed, Analyze format used to lack information about convention, which leads to ambiguities in the way of displaying images.
Before beginning, please note the difference between the Anatomist display, how data are stored and how data are read:
What does “the Anatomist display” mean: the display is independant of storing and reading data on your disk. You can display data in neurological convention even if they are stored and read like radiological data. It depends on settings (Settings -> Preferences -> Windows).
How data is stored: this corresponds to the file organization.
How data is read: Anatomist and the underlying (AIMS) library, will always try to load data in computer memory in radiological convention, as long as it can determine the file orientation. This may be tricky for formats not specifying it, such as Analyze. Attributes contained in .aimsrc and .minf file can give additional information. For instance, the spm_radio_convention indicates that the data is in radiological convention if value is 1 otherwise SPM data will read in neurological convention.
So, in our tools two files may provide information about reading data, in addition to native formats information: the .minf and the .aimsrc files. The .minf file has priority since it is specific to a data file, whereas .aimsrc is the global default fallback. To summarize, volumes are considered in radiological convention, then information from .minf and/or .aimsrc file are read and data is displayed according to Anatomist settings.
Here we have many examples of configurations. Tests are run with an analyze data set with or without the .minf file. If you want to try them, then you must create the .minf file (<data_name>.img.minf) and the .aimsrc file (if your user account doesn’t already have it) with a text file editor. In order to try the configurations, you can use the following demonstration data, which can be found in the data_for_anatomist/right_and_left directory. A correct display will be checked by visualizing a lesion located in the right hemisphere. Note that the data is stored in radiological convention and normalized with SPM2. In other words, normalized data is in radiological convention, but WARNING: the output convention after normalization depends on your SPM configuration. In our case, we considere that the input and output convention after SPM2 normalization are the same.
Note
Using more “modern” image formats (like NIFTI), and with sowtware which actually handles orientation, there should be no problems nowadays.
| Configuration | Normalized data and displayed with radiological convention | Non-normalized data and displayed with radiological convention |
|---|---|---|
|
.minf file: none .aimsrc file attributes = {
'__syntax__' : 'aims_settings',
'spm_input_radio_convention' : 1,
'spm_input_spm2_normalization' : 0,
'spm_output_radio_convention' : 1,
'spm_output_spm2_normalization' : 0,
}
|
The display is not correct. |
The display is correct. |
|
.minf file: none .aimsrc file attributes = {
'__syntax__' : 'aims_settings',
'spm_input_radio_convention' : 1,
'spm_input_spm2_normalization' : 1,
'spm_output_radio_convention' : 1,
'spm_output_spm2_normalization' : 1,
}
|
The display is correct. |
The display is correct. |
.minf file (for each volume) attributes = {
'spm_spm2_normalization': 1
}
.aimsrc file attributes = {
'__syntax__' : 'aims_settings',
'spm_input_radio_convention' : 1,
'spm_input_spm2_normalization' : 0,
'spm_output_radio_convention' : 1,
'spm_output_spm2_normalization' : 0,
}
|
The display is correct. But: information between the .minf and the .aimsrc are different. The correct information is contained in the .minf file, which is read in priority. |
The display is correct. But: information contained in the .minf file is not adapted to the volume. |
.minf file (for each volume) attributes = {
'spm_spm2_normalization': 0
}
.aimsrc file attributes = {
'__syntax__' : 'aims_settings',
'spm_input_radio_convention' : 1,
'spm_input_spm2_normalization' : 1,
'spm_output_radio_convention' : 1,
'spm_output_spm2_normalization' : 1,
}
|
The display is not correct. Why: data is normalized with SPM2 and the settings indicate the SPM99 mode use with spm_spm2_normalization = 0 (thus a flip on x axis is done). |
The display is correct. But: information contained in the .minf file is not adapted to the volume. |
.minf file (for each volume) attributes = {
'spm_radio_convention' : 1
}
.aimsrc file attributes = {
'__syntax__' : 'aims_settings',
'spm_input_radio_convention' : 1,
'spm_input_spm2_normalization' : 0,
'spm_output_radio_convention' : 1,
'spm_output_spm2_normalization' : 0,
}
|
The display is correct. But: information contained in the .minf file is not adapted to the volume. |
The display is correct. |
Handling regions of interest and sulci graphs¶
Draw regions of interest (graph of ROIs)¶
Load any volume.
Place it into a window.
Click on
on this window.Select the RoiManagement panel.
Session => New.
Region => New and provide a name.
Change the brush: Paint => Disk, Bush Radius = 7.
Draw your region on the window.
Session => Save As.
Click Ok.
Warning
Be careful to draw in a window which is in the same referential than the volume. Indeed, the voxels are drawn in the referential of the view, so, if it is not the referential of the volume, the voxels of the ROI and the voxels of the volume won’t be in the same orientation.
See the ROI drawing toolbox chapter in Anatomist manual for more details about the ROI drawing toolbox.
Display a graph of ROI¶
Load ̀`data_for_anatomist/roi/basal_ganglia.arg`.
Place the graph into a 3D window
.To select a specific region, click on the view/select object menu by right-clicking on the 3D window. A browser with the graph object is now diplayed.
To select one or several regions, unroll the graph and select the corresponding nodes.
Display a meshed graph of ROI¶
Load
data_for_anatomist/roi/mbasal_ganglia.arg.Place the graph into a 3D window
.To select a specific region, click on the view/select object menu by right-clicking on the 3D window. A browser with the graph is now diplayed.
To select one or several regions, unroll the graph and select the corresponding nodes.
Display only selected nodes of a sulci graph¶
Load
data_for_anatomist/subject01/sulci/Lsubject01_default_session_auto.arg.Open a 3D window
.Select your graph in the list of objects and the new 3D window
with the mouse.Select Display => Add without nodes menu by right-clicking on the sulci graph.
An empty window is displayed. To view a sulcus, you have to select it in the graph.
Select view/select object menu by right-clicking on the 3D window. A browser with the graph is now diplayed.
To display one or several nodes, unroll the graph and select them.
Change the name attribute of a graph node¶
Load a sulci graph:
data_for_anatomist/subject01/sulci/Lsubject01_default_session_auto.arg.Place it into a
.Select a node.
Right-click => Modify name.
Enter a new value.
Place your cursor on the graph object (to right) in Anatomist control window.
Right-click => File => Save.
Provide a new name if you don’t want to erase the original file.
Copy label values between sulci graph nodes¶
To perform manual labelling (or to correct automatic labellings) in sulci graphs, you can copy and paste label values between graph nodes (inside the same graph or between different graphs). The attribute used to pick / store label values depends on the the label_property (name or label) of the global attributes for each graph, just like nomenclature colors application. Note that if your graph does not have the label_property attribute, then the default value is the value of graph parameters => Use attribute => label or name.
For instance, to copy/paste bewteen different graphs:
Load 2 sulci graphs.
Change or check the value of label_property by clicking on Graph => Labelling => Use Automatic Labelling.
Place each graph into a
.Select a node from graph A (make sure the window is in selection control mode).
Click on space key (to store the attribute value). The label value and color should appear in a small box in the top toolbar of the window.
Select a node from graph B.
Click on <ctrl> and <enter> keys (to copy the attribute value).
Don’t forget to save the graph and provide a new name if you don’t want to erase the original file.
Nomenclature and graph¶
Load and use a nomenclature¶
Load
data_for_anatomist/roi/basal_ganglia.hie.Place the nomenclature into a browser
.Load
data_for_anatomist/roi/basal_ganglia.arg.Place the graph into a 3D window
.Select central, hemisph_left in the browser displaying the
basal_ganglia.hieobject.Note that you can handle the ROIs by using the selection control
of the 3D window. Click on this control, and now select different parts of the graph.
Warning
If the specific colors are not displayed, see Settings => Graph parameters => Colors 2D/3D and activate/deactivate the Use nomenclature / Colors binding option.
Write a simple nomenclature (.hie)¶
Here is the syntax for a nomenclature with 2 regions: region_A and region_B.
# tree 1.0
*BEGIN TREE hierarchy
graph_syntax RoiArg
*BEGIN TREE fold_name
name region_A
color 170 85 255
*END
*BEGIN TREE fold_name
name region_B
color 255 170 0
*END
*END
Copy those lines into a new text file.
Save the file with the following name:
my_nomenclature.hie. Under Windows, be careful with the file extension: Windows sometimes hides extensions or adds its own, so you may have to check or fix it.Open an Anatomist session.
Open any volume.
Draw a ROI graph with 2 regions. The names must be exactly region_A and region_B to link with the nomenclature.
Load
my_nomenclature.hiein your Anatomist session.Update the display by selecting and de-selecting of Use Nomenclature/colors bindings in the Settings -> graph paremeters.
You can switch to the selection mode with
.
Sulci graph: copy the label values to name values¶
After an automatic recognition of sulci, it is possible to switch between automatic labelling and manual labelling modes, that is, use the ‘name’ (manual) or ‘label’ (automatic) attribute to store labels in graph nodes. You can copy all label values into name values. After that, you can modify the name attributes and keep the original value in the label attribute.
Open a sulci graph.
Click on graph => Labelling => Move automatic labelling (‘label’) to manual (‘name’).
Surface paint module¶
A surface painting module is present in Anatomist. This tool allows to draw textures on a mesh, using several drawing tools. This module has been primarily developed in the specific aim of drawing sulcal constraints to build a 2D coordinates system on the brain (see the Cortical Surface toolbox in BrainVisa), but can be used in a general way to draw any texture values.
Basic drawing¶
Load a mesh:
data_for_anatomist/subject01/subject01_Lwhite.mesh.Click on the Ok button on the new popup window. The options in this window are useful only to build a 2D coordinates system on the cortical surface.
A new 3D window containing the mesh opens.
A new control
should be available in the 3D window. Select it.Several new icons and parameters are now available in the 3D window to allow drawing on the surface.
To draw, click on the
icon and maintain left mouse button while moving the mouse on the mesh.The drawing will be saved in a texture file which associates a value to each point of the mesh. You can change the current texture value in the text field labelled Texture value. The colors associated to each texture value depends on the color palette of the texture. To change it, select the object TexConstraint in Anatomist main window and use the contextual menu Color -> Palette.
To erase a drawing, click on the
icon and maintain left mouse button while moving the mouse on the mesh.It is possible to fill a closed region using the magic wand icon
, then clicking on the region to fill and validate the selection with
icon.When the drawing is finished, save it in a texture file using the
icon. Select the location, type a file name. It is possible to save in tex (*.tex) or gifti (*.gii) formats.
Note
At any moment it is possible to undo / redo previous operations using Ctrl-Z and Shift-Ctrl-Z keys combinations, respectively.
Surface paint window¶
Constrained drawing¶
It is also possible to draw according anatomical constraints. For example, following the depth of the sulci or the top of the gyri.
To do so, select a constraint by choosing an icon among
for unconstrained path,
for drawing paths following the sulci or
for drawing paths following the gyri.Then draw on the mesh by clicking on a first point that will be the beginning of the path and a second that will be the end of the path, the tool will automatically compute a path between the 2 points according to the selected constraint.
To really write the computed path, you have to validate it using the
icon.If you want to remove the computed path, you can use the
icon.
Reload a drawing¶
Load the mesh:
data_for_anatomist/subject01/subject01_Lwhite.mesh.Load the previously saved texture file.
Do a FusionTexSurfMethod fusion between the mesh and the texture.
Select the fusion object in Anatomist main window and click on the
icon.A new 3D window containing the mesh opens.
The new control
should be available in the 3D window. Select it.You can now go on with the drawing on the surface of the mesh.
Note
When visualizing such a texture on a mesh, it is better to check the option RGB space interpolation (label textures) in the texturing params of the texture object (Contextual menu -> Color -> Texturing). This way, the interpolation is done on the RGB colors of the palette, not on the value of the texture.
More functionalities are available in the SurfPaint module but will not be discussed here in the tutorial. Please refer to the complete manual to get more information.
Extraction and merging of sulci meshed (from sulci graph) and fusion between them¶
This exercise shows how to extract a graph node mesh (ie sulcus or sulcus part), and merge or rather concatenate several such meshes. Note this example only works on graphs containing meshes.
Extraction of each mesh from a graph¶
Put your sulci graph into a browser.
Select a node and save its mesh by right-clicking on the mesh (aims_Tmtktri) in a browser and select Object-specific => File => Save.
Specify an output file name as
NameSulcus1.mesh.
Concatenation of all saved meshes¶
Use the AimsZcat command line:
AimsZCat -i NameSuclcus1.mesh NameSuclcus2.mesh NameSuclcus3.mesh -o AllMesh.mesh
This command has other options, but here we need:
-i option: list of meshes to concatenate.
-o option: output filename for the concatenated mesh.
Combining objects¶
Fusion a volume with itself¶
Load a T1 MRI:
data_for_anatomist/subject01/subject01.niiSelect the object in the Anatomist objects list.
Click on
to create a Slice object.Select the Slice and O1 objects and drag them into a sagittal window.
Rotate the objects to view the two planes (click on the middle button and move simultaneously on the mouse).
To change the slice plane, activate it by right-click on the window and select view/select object menu. Then select the new control
and use the keyboard shortcuts to move the plane (Ctrl key + middle mouse button for translation for example).
FusionSliceMethod: cut a volume across itself¶
Fusion between a cortical surface mesh and an activation map¶
Load:
White matter mesh:
data_for_anatomist/subject01/subject01_Lwhite.meshActivation map:
data_for_anatomist/subject01/Audio-Video_T_map.niiT1 MRI:
data_for_anatomist/subject01/subject01.nii
Change the color palette of the map.
Load referential information from file header for the map and the T1 MRI.
After loading referentials¶
Make a fusion between the mesh and the map (click on
).Select the Fusion3DMethod and click OK. A new FUSION3D object is created.
Place the FUSION3D object into a
.Right-click on the FUSION3D object, then select Fusion => Control 3d fusion.
Select Fusion mode => Linear and Rate = 50.
Fusion between a cortical surface mesh and an activation map¶
Fusion between an inflated cortical surface mesh and an activation map¶
Load:
White matter mesh:
data_for_anatomist/subject01/subject01_Lwhite.meshInflated white mesh:
data_for_anatomist/subject01/subject01_Lwhite_inflated.meshActivation map:
data_for_anatomist/subject01/Audio-Video_T_map.niiT1 MRI:
data_for_anatomist/subject01/subject01.nii
Do a fusion between white matter mesh and the activation map as described in the previous section. You now have a Fusion3D object.
Do a fusion between the Fusion3D object and the inflated white mesh. The mode will be FusionTexSurfMethod. You now have a TEXTURED SURF object.
Place the TEXTURED SURF object into a
.
Fusion between an inflated cortical surface mesh and an activation map.¶
Warning
The steps order is very important because if you directly do a fusion between the inflated mesh and the map, then the result will be wrong. In fact the white mesh and the inflated mesh are two meshes sharing the same structure (number of vertices and polygons), only the location of vertices differ, so they can be assigned the same textures. But 3D fusions for mesh-map and inflated mesh-map do not produce the same result since in a 3D fusion, the 3D location of points is actually taken into account. So you have to fusion first mesh and map to make an activation texture processing the correct points location, and then report this texture onto the inflated mesh in the second fusion (textured surface).
Extract a texture¶
Right-click on the FUSION3D object.
Select File => Export texture.
Note
This texture corresponds solely to meshes with the same structure.
Fusion between an inflated cortical surface mesh and a texture¶
Load:
Inflated white mesh:
data_for_anatomist/subject01/subject01_Lwhite_inflated.meshordata_for_anatomist/subject01_Lwhite_inflated_4d.meshCortical curvature texture:
data_for_anatomist/subject01/subject01_Lwhite_curv.tex
Select the mesh and the texture to do a fusion (click on
).Click on OK.
Place the TEXTURED SURF object into a
.
Fusion between an inflated cortical surface mesh and a texture¶
Note
This kind of fusion is only possible if the texture has been specifically made for the corresponding mesh: the number of vertices, and their order, must match.
Multitexture : Inflated cortical surface mesh with an activation map and a curvature texture¶
Load:
Left cortical mesh:
data_for_anatomist/subject01/subject01_Lwhite.meshLeft inflated cortical mesh:
data_for_anatomist/subject01/subject01_Lwhite_inflated.meshordata_for_anatomist/subject01_Lwhite_inflated_4d.meshActivation map:
data_for_anatomist/subject01/Audio-Video_T_map.niiT1 MRI:
data_for_anatomist/subject01/subject01.niiMean curvature texture:
data_for_anatomist/subject01/subject01_Lwhite_curv.tex
Do a fusion between a cortical surface mesh and an activation map.
A FUSION3D object is created, which should look like this:
Do a FusionMultiTextureMethod fusion between the FUSION3D and the texture. A Multitexture is created. This object does not need to be visualized in a window.
Do a FusionTexSurfMethod fusion between the Multitexture and the inflated mesh.
Place the TEXTURED SURF. object in a
.
Note
In the snapshot above, we used the 4D objects.
Warning
If we have done a FUSION3D from the inflated mesh, and the functional volume, it would have resulted in a visualizable object, but the functional data on the mesh would have been wrong, since the geometrical position where functional information is taken to make the functional texture would not be at the initial location.
Fusion Mesh cut by a plane¶
Load:
T1 MRI:
data_for_anatomist/subject01/subject01.niiRight cortical mesh:
data_for_anatomist/subject01/subject01_Rwhite.mesh
Select the 2 objects in the anatomist objects list.
Click on
and select FusionCutMeshMethod to create a CutMesh object.Drag and drop the CutMesh object into a 3d window.
Rotate the CutMesh in the window by clicking on the middle button and move simultaneously the mouse.
Unroll the CutMesh of the anatomist object list and drag and drop the BorderPloygon into the 3d window.
Drag and drop the subject01.nii object into the 3d window.
Activate the Mesh cutting control:
Right-click on 3d window and select View / Select object.
Activate the CutMesh object via this browser by selecting with the mouse (the line becomes highlighted).
Move the cutting plane on the cut mesh as you like. Please refer to the mesh cutting control section of Manual of Anatomist to know the shortcuts.
Mesh cut by a fusion between an anatomical MRI and an activation map¶
Load:
T1 MRI:
data_for_anatomist/subject01/subject01.niiActivation map:
data_for_anatomist/subject01/Audio-Video_T_map.niiHead mesh:
data_for_anatomist/subject01/subject01_head.mesh
Load referential information from file header for the 2 volumes.
Make a fusion FusionCutMesh between the T1 MRI and the head mesh. A new object CutMesh is created.
Put this CutMesh object in a 3D window.
Move the slice plane: Shift key + middle button + mouse move (rotation) and Ctrl Key + middle button + mouse move.(translation)
Make a fusion between the T1 MRI and activation map.
Make a fusion CutMesh between this FUSION2D object et the head mesh and visualize the result.
Make a fusion on the CutMesh object alone: it will be cut again by a second slice plane. It is possible to change the orientation of this second plane also.
Volume Rendering¶
The volume rendering feature enables to see the content of a volume in 3D by transparency. It is a way to have a look at the data without segmentation steps, but it can be difficult to choose the correct color palette and opacity.
Warning
This feature uses a lot of 3D card power and needs a hardware driver. So, it may not work or it may be slow on some computers.
Load a T1 MRI:
data_for_anatomist/subject01/subject01.nii.Select the volume, click on
and choose VolumeRendering.Put the VolumeRendering object in a 3D window.
In this window, open the menu Scene => Tools.
Check Clipping plane => Single plane.
Select the oblique view control

Rotate the cut plane: Shift Key + middle button + mouse move.
Modify the color palette, the bounds. You can also create a custom palette with the gradient palette editor.
There is another way cut a volume rendering object by a plane:
Fusion a volume with itself across many planes¶
Load a volume:
data_name/subject01/subject01.niiSelect the volume in the Anatomist objects list.
Click on
to create a Slice object.Click on
to create another Slice (2) object.Select the Slice, the Slice (2) and the initial volume objects and drag them into a sagittal window.
Rotate the objects to view the two planes (click on the middle button and move simultaneously on the mouse).
To view the third plane, we handle the mesh cutting control. To activate/handle this control, select view/select object menu by right-clicking on the window. A browser with the objects list is now diplayed.
Select Slice (2).
Move the object with Shift + mouse middle button. For more information about this control, place your mouse above the
to read the help.
FusionSliceMethod: cut a volume across many planes¶
Handle several cutting planes¶
Perform 2 FusionCutMeshMethod with the usage of PlanarFusion3D.
Make a fusion between them and obtain a CutMesh(3) (available from 3.1.0 version).
Place each fusion in a 3d window.
Set a different color for BorderPloygon of each fusion.
Drag and drop each BorderPloygon in each fusion.
Handle any CutMesh fusion and follow the cutting planes in 3d windows.
Handle several cutting planes¶
Save Anatomist session¶
It can be useful to save the current state of Anatomist (loaded objects, opened windows…) to reload it later without having to do again all actions.
Save the session¶
After your working session, don’t remove objects and windows.
Close the Anatomist session.
Windows: save the following file:
C:\Documents and Settings\<user>\.anatomist\history.ana.Linux: save the following file:
/home/<user>/.anatomist/history.ana.
Reload the session¶
Open the Anatomist session with the .ana file, like this:
anatomist my_history_file.ana
You can also load a .ana file from file => open or Replay scenario.
AnaSimpleViewer: A simplified version of Anatomist¶
Since Anatomist 3.2.1, a new simplified viewer application has been developed: anasimpleviewer.py. It offers a simple and easy interface in a single window using a fixed 4-views layout, which is more classical and more convenient for inexperienced users. It is a restricted and constrained use of Anatomist capabilities. It has been developed quickly, at first to show that developing simple custom applications using Anatomist libraries is not so difficult and may be done quite fast in Python language. But the resulting application can be quite useful and easier to use for people who use mainly basic features of Anatomist.
This application is inlcuded in BrainVISA package and can be run using the script anasimpleviewer.py which is located in the bin directory of the BrainVISA package.
To visualize an image in the 4 classical views with this tool, just click on the menu File => Open and select the file in the file browser.
Grahical user interface¶
Anatomist Simple Viewer user interface¶
1: This panel contains the list of loaded images. It is possible to hide or visualize an image by selecting it in the panel and using the toolbar buttons
and
.
2: This panel displays the coordinates at the current cursor position in millimeters in the MNI referential. It is also possible to change manually the coordinates indicated in the x, y, z and t fields to change the cursor position.
3: This panel displays the voxel value at the current position of the cursor in the visible objects.
4: 4 windows representing the images according 4 views: coronal, sagittal, axial and 3D. A few actions are possible on these viewers:
Zoom: using the mouse wheel.
Move the camera: only possible in the 3D view by moving the mouse while the middle button is clicked.
Change the contrast: it is possible to change the minimum and maximum values of the color palette by moving the mouse while clicking on the right button of the mouse. Moving horizontally from left to right increases the minimum border of the palette. Moving from vertically from bottom to top decreases the maxiumum border of the color palette and so increases the contrast.
It is possible to open several images, they will be automatically added to the views using superimposing of fusion when needed. AnaSimpleViewer also tries to set a suited palette to volumes according to their types. See an example below with an MRI, a brain mask and an hemisphere mesh:
Visualizing several images with AnaSimpleViewer¶
This simplified version of Anatomist has been developped using PyAnatomist, the Python API for Anatomist. To know more about how to program your own application with this API, see the PyAnatomist tutorials.